Tooth Colored Restoration

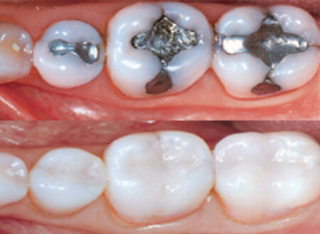
If you're embarrassed about your smile because of decay or dark fillings in your teeth, you may be a good candidate for composite resins. A silicon dioxide-filled, tooth-colored plastic mixture,composite resins can restore teeth to an attractive, healthy state.Composite resins represent several advantages over traditional silver or amalgam fillings.Because composite resins are not made of metal, we can blend and mix shades to find the perfect color to match your natural teeth. This means only you and your dentist will know you have fillings..

Another pro is that the tooth/composite bond actually supports the remaining tooth structure,deterring breakage and insulating against temperature changes. Medium and small composites can last seven to ten years – that's as long as the tried and true amalgams.


back to Cosmetic Dentistry

Want to schedule an appointment?

© 2017 - 2026 V -Care Dental Home. All rights reserved.

Design by Ewolwe