Featured Cases

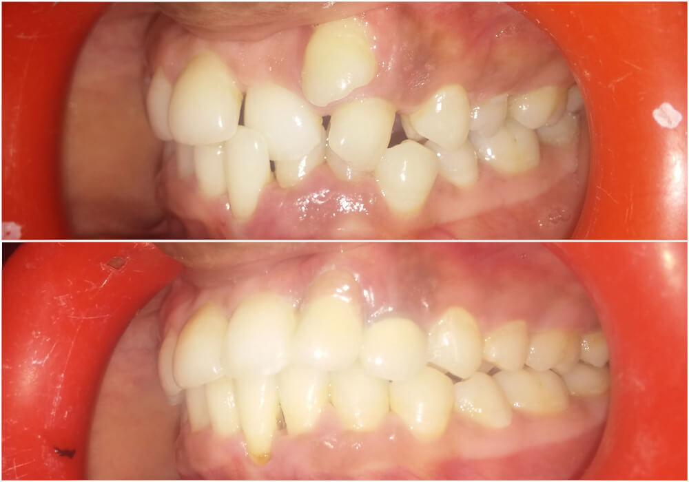
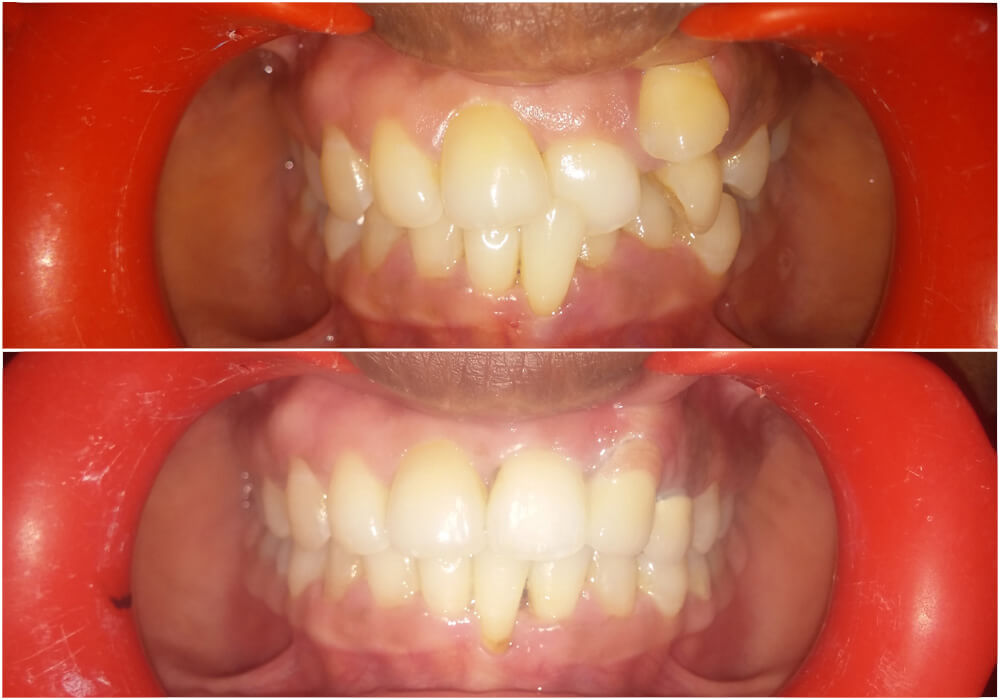
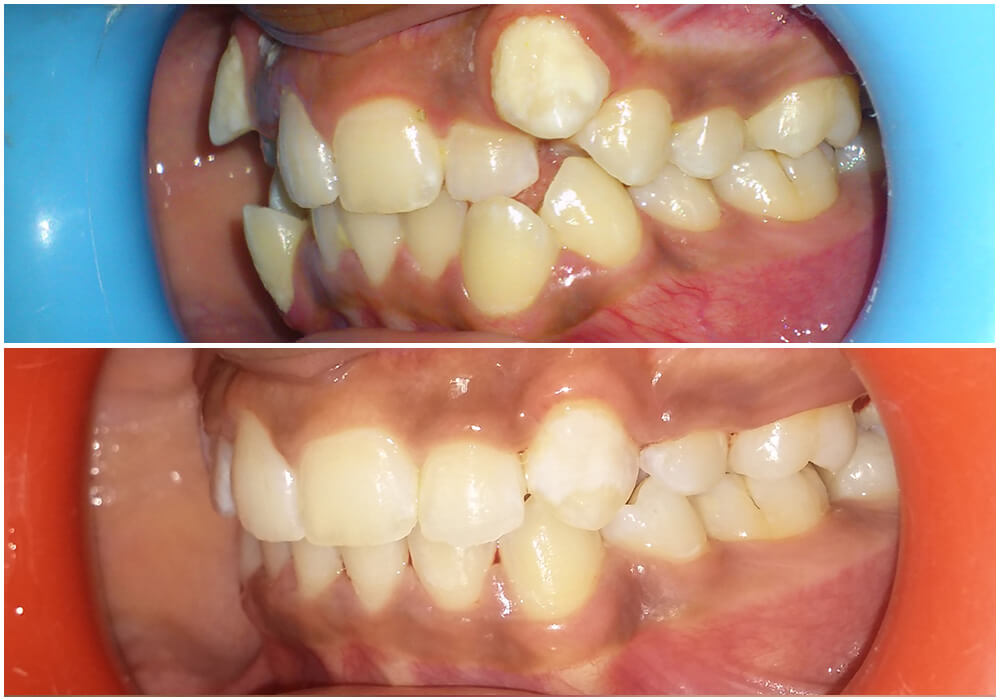
Mal aligned and traumatic occlusion

Reported to clinic with a complaint of mal aligned and traumatic occlusion with respect to left side. But had only 6 month time for the correction. With proper diagnosis and treatment planning we have achieved this occlusion without extracting in 6 months of time. Temporary crowns are placed with respect to which will be replaced after one year.

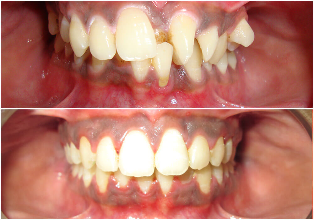
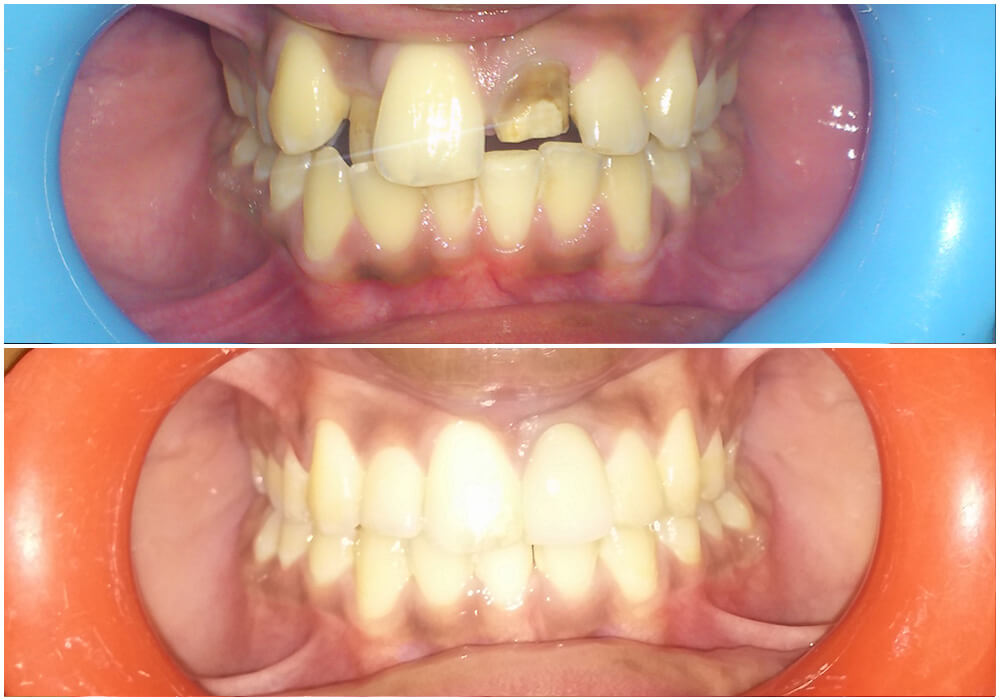
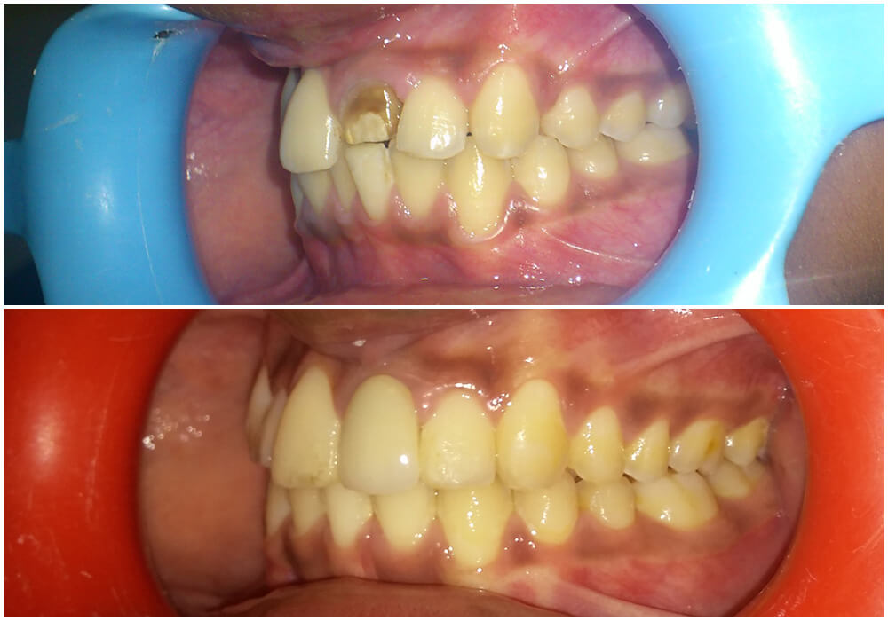
Traumatic occlusion and sensitivity

Reported to clinic with a complaint of traumatic occlusion and sensitivity with respect to and has done RCT with respect to and crown was placed .But the crown was getty disengaged frequently due to traumatic occlusion.

Mal positioned teeth

Reported to clinic with a complaint of mal positioned teeth.

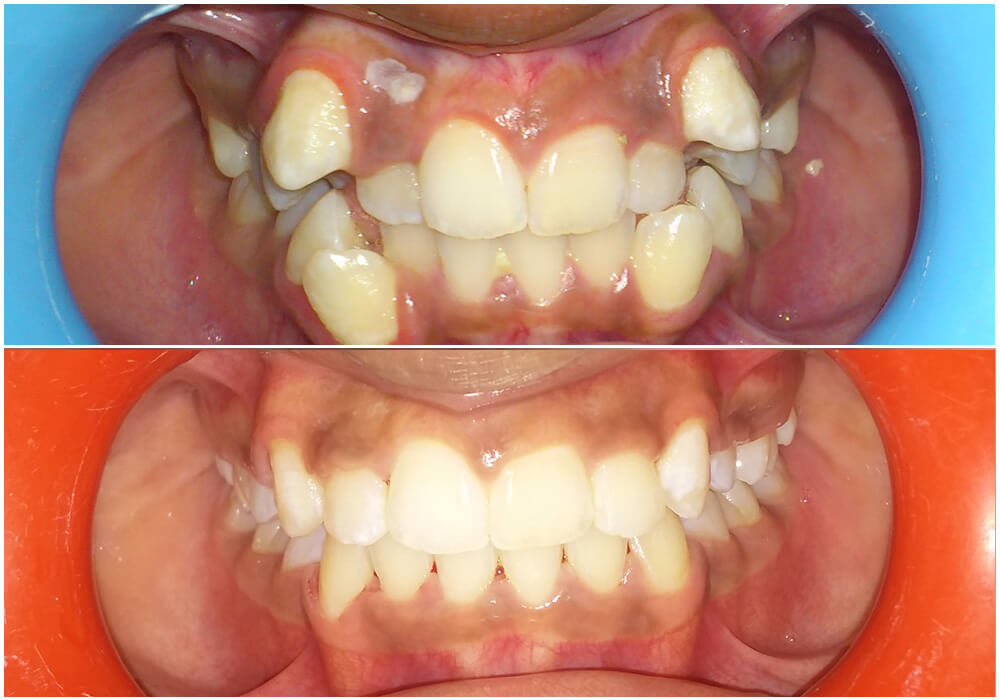
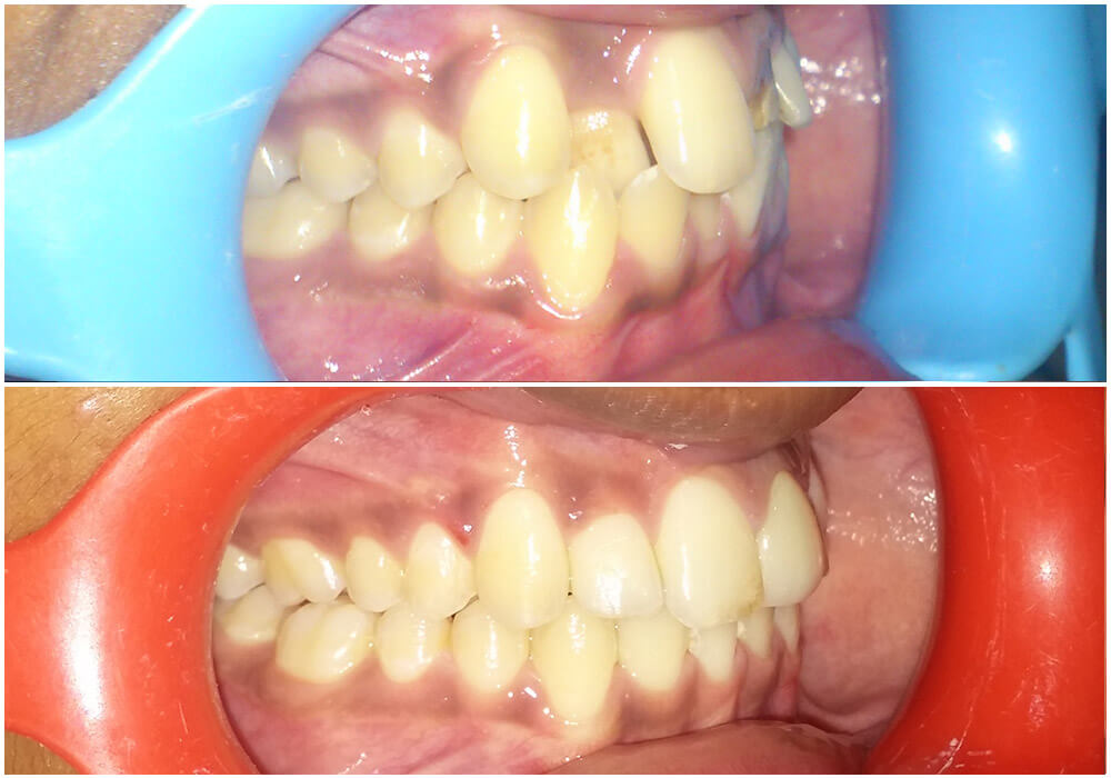
Crowding and mal positioned teeth

Reported to clinic with crowding and mal positioned teeth. Patient was not willing for extraction of permanent teeth.Treatment done with extraction of mesodense.

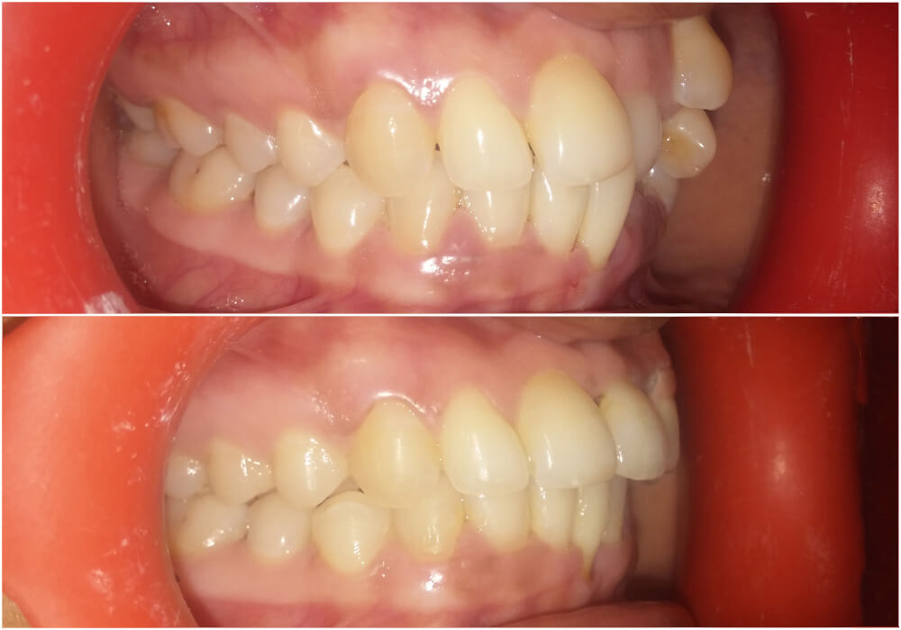
Proclined teeth

Reported to clinic with a complaint of proclined teeth .Patient was not willing for surgical interventions so treatment done non-surgically.

Unilateral cleft lip and plate

Unilateral cleft lip and plate.

Did orthodontics with Distraction osteogenesis.

Want to schedule an appointment?

© 2017 - 2026 V -Care Dental Home. All rights reserved.

Design by Ewolwe