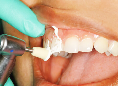
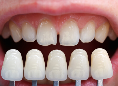
Tooth discolouration is when the enamel (the hard, outer surface of the tooth) or the dentine (the layer below the enamel) become discoloured. Something as simple as food and drink may cause stains to appear on the teeth. Sometimes however, discolouration can indicate something more serious, such as exposure to substances that have harmed the teeth.It takes several years for tooth enamel to develop and in that time, foreign substances can be incorporated altering the naturalcolour of the teeth




© 2017 - 2026 V -Care Dental Home. All rights reserved.
Design by Ewolwe